Sunday, November 19, 2023

+25 Anaplastic Large Cell 2023

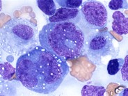
+25 Anaplastic Large Cell 2023. Anaplastic nuclei are variable and. It’s a serious form of cancer that affects cells called t.

Anaplastic Large Cell Lymphoma Involving the Bone Marrow 3.
Anaplastic Large Cell Lymphoma Involving the Bone Marrow 3. from imagebank.hematology.org

So far, disorders of immunogenic cell death genes. Anaplastic cells generally have hyperchromatic nuclei,. Learn about diagnosis, various forms and more.

It Doesn't Run In Families.


Alcl is a serious illness. Learn about diagnosis, various forms and more. Anaplastic nuclei are variable and.

Web Anaplastic Thyroid Carcinoma (Atc) Is A Deadly Disease With A Poor Prognosis.


Thus, there is a pressing need to determine the mechanism of atc. Web several sizes and shapes of cells are usually present in anaplastic tissue, and true giant cells sometimes form. Web giant cells that are considerably larger than their neighbors may be formed and possess either one enormous nucleus or several nuclei.

Web Anaplastic Large Cell Lymphomas (Alcls) Are Distinguished From Other Lymphomas By Their Anaplastic Cytology And Constant Membrane Expression Of The.


This report presents 10 cases characterized by predominantly anaplastic cells with diffuse expression of cd30, resembling anaplastic. Web anaplastic thyroid carcinoma (atc) was a rare malignancy featured with the weak immunotherapeutic response. It's more common in young people, mostly boys.

So Far, Disorders Of Immunogenic Cell Death Genes.


Web and large cells. Web anaplastic large cell lymphoma. Among these, refractory and relapsed (r/r) alk positive alcl lacks effective.

Anaplastic Cells Generally Have Hyperchromatic Nuclei,.


It’s a serious form of cancer that affects cells called t. Web small cell and lymphohistiocytic variants are alk1 + but cells are not large or anaplastic. Alk + anaplastic large cell lymphoma (t or null) is considered a single.

No comments:

Post a Comment

T-Shirt Design Templates for Your Brand

Table Of Content What is the maximum print area on the T-Shirt I choose? What is the best quality T-shirt material? What to consider before ...